What are Those Dark Spots Between your Teeth?

Aug 22, 2021
Teeth

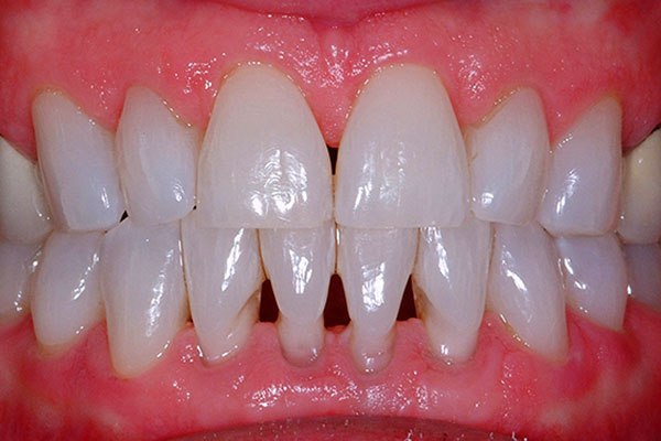
A common question many dental patients have (especially older patients) is why they have dark spaces between their teeth. Dental professionals commonly refer to these as “black triangles,” which tend to show themselves as you get older, but can occur at any age.

Why do they occur?

  • Gum disease. A huge issue with gum disease is that many people who have it don’t even know it, making it harder to treat.
  • You’re brushing too hard. Doing this can actually damage gum tissue which causes it to recede, eventually leaving dark spaces.
  • Bone loss around teeth. Your gums trail the shape of the bone around your teeth, so when the bone is lost, the gums around it are slowly lost as well. One of the first places people with gum disease lose bone is in between their teeth, and as this bone recedes, your gum isn’t able to fill in the space in its entirety.
  • The shape of your teeth. Teeth close to the lip have larger spaces in between them that need to be filled by gum tissue. Dark spaces are more likely to develop around/between these teeth.

What can be done about them?

When black triangles are smaller, veneers and bonding can widen your teeth and cover the areas. For larger black triangles, it’s difficult to close the gaps entirely without making your teeth look disproportional. The full solution (which is a bit intensive) would be to flatten and lower the areas where the teeth make contact by removing enamel on the sides of your teeth, and using braces to pull everything back in. However, as stated above, this treatment is a bit intensive, and usually isn’t done unless a patient already has braces for another reason.

More articles

2021

What are Those Dark Spots Between your Teeth?

A common question many dental patients have (especially older patients) is why they have dark spaces between their teeth. Dental professionals commonly refer to these as “black triangles,” which tend to show themselves as you get older, but can occur at any age.

Why do they occur?

2021

Oral Health Tips for Patients with Braces

Keeping your teeth clean and sparkling with braces is a difficult task, to say the least. It seems many believe it’s either impossible or close to it to keep clean, bright teeth and healthy gums with wearing braces. This couldn’t be further from the truth! Use these tips and tricks to keep a clean, bright healthy smile while wearing braces:

Brushing

2021

Do Your Gums Bleed When You Brush? This Might Be Why.

Bleeding gums when brushing is a far more common occurrence than you might think; it’s usually simply because your gums are inflamed. While inflamed gums can sometimes be linked to an infection or a serious systemic problem like leukemia or a virus, the likely cause is gingivitis. The good news? This can be eliminated by improving your oral care at home, or with a thorough dental cleaning by your dentist!