Latest Dental News

Stay Informed on Oral and Dental Care

2021

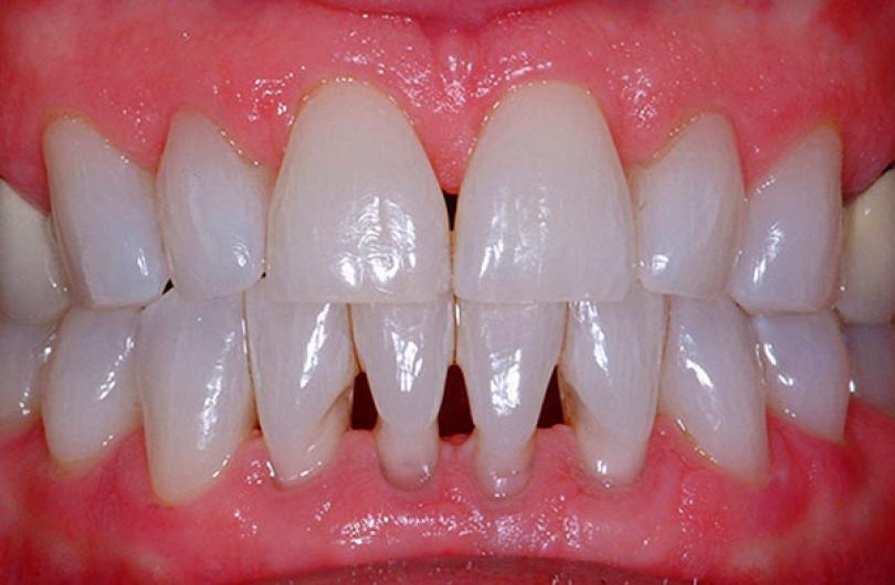
What are Those Dark Spots Between your Teeth?

A common question many dental patients have (especially older patients) is why they have dark spaces between their teeth. Dental professionals commonly refer to these as “black triangles,” which tend to show themselves as you get older, but can occur at any age.

Why do they occur?

2021

Oral Health Tips for Patients with Braces

Keeping your teeth clean and sparkling with braces is a difficult task, to say the least. It seems many believe it’s either impossible or close to it to keep clean, bright teeth and healthy gums with wearing braces. This couldn’t be further from the truth! Use these tips and tricks to keep a clean, bright healthy smile while wearing braces:

Brushing

2021

Do Your Gums Bleed When You Brush? This Might Be Why.

Bleeding gums when brushing is a far more common occurrence than you might think; it’s usually simply because your gums are inflamed. While inflamed gums can sometimes be linked to an infection or a serious systemic problem like leukemia or a virus, the likely cause is gingivitis. The good news? This can be eliminated by improving your oral care at home, or with a thorough dental cleaning by your dentist!

2021

My Mouth is Swollen and I Don’t Know Why

It’s important to remember that oral swelling can be caused by a slew of various reasons. Infections, allergies, cysts, viruses, an exostosis or neoplasms can all be potential causes. Of course, if you notice new or unexplained swelling in your mouth, it’s time to get in and see your dentists.

2021

Why Isn’t My Bite Perfect Even Though My Crown Fits?

You’ve just gotten your crown fitted, and now it’s time to show the world your perfect smile! But, you might notice that while your crown fits perfectly, your bite may feel a little uncomfortable. You may be wondering “How is this possible?” The fact is that while a crown may fit, it still may need to be adjusted for your bite.

Why is this so?

2020

How to Make Teaching Kids About Oral Health Fun

Getting kids excited about dental health can certainly be a difficult task; compared to friends, playing outside, video games and TV, keeping a clean smile doesn’t sound like the most fun thing in the world.